| 
 
 1.和賀 萌美先生 : メラノーマの症例報告
 【はじめに】
 メラノーマは、メラニン色素産生細胞(メラノサイト)の腫瘍である。豚ではデュロック種での発生報告が多く、原因として遺伝的要素が示唆されている。皮膚への腫瘤形成で気が付くことが多いが、と畜場で内臓や筋肉内に転移が見られる場合もある。今回、胎盤・臍帯を含む組織でメラノーマが発生した症例を経験したのでその概要を報告する。
 
 【材料と方法】
 飼養しているデュロック種において、娩出された子豚1頭と当該子豚の臍帯、胎盤の一部に黒色の隆起した病変が多数認められたと報告を受けた(写真1、写真2)。当該子豚を娩出した母豚は2産目で、今回の分娩では総産子数11頭、内3頭死産であった。死産3頭の内1頭のみに病変が認められ、他の同腹子豚に同様の黒色病変は認められなかった。また母豚にも黒色隆起した病変は認められていなかった。当日に農場へ訪問することができなかったため、当該子豚の病原探索と解剖をSMC鰍ノ依頼し、麻布大学PCCにおける病理組織学的検査に供した。
 
 
 
	
 写真1:娩出された黒色隆起病変の多数見られた死産子豚 
 写真2:当該子豚とともに娩出された胎盤 【結果と考察】
 脳、肺、肝臓、腸間膜リンパ節から細菌は分離されず、臓器のPCR検査ではPRRS、PCV2、PPV、JEV、レプトスピラ属菌は陰性であった。
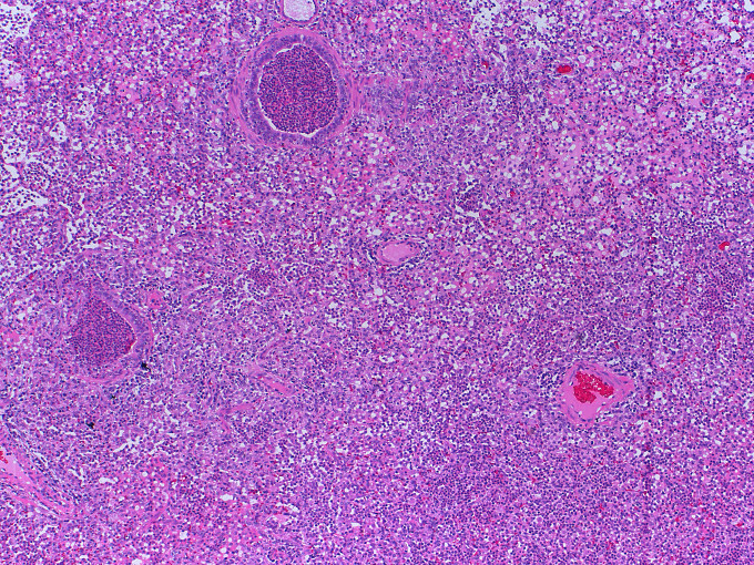
 病理組織学的検査より、肺、脳、心臓、肝臓、腎臓、脾臓、胃、腸、リンパ節、胎盤、臍帯、皮膚において細胞質に少量の茶褐色色素(メラニン色素)を有する紡錘形から多角形の細胞が浸潤、転移していた。以下、その一例を示す。
 
 病理スライド1は皮膚の病理組織写真。真皮から皮下組織にかけて境界不明瞭な腫瘍が形成されていた。点線部は重層扁平上皮層の中に形成された小型のメラノサイトの集簇巣である。このように表皮の中でも腫瘍化している像が認められた。
 
 
	病理スライド2はリンパ節の弱拡大の病理組織写真、病理スライド3はその強拡大像である。リンパ節でも同様に紡錘形の腫瘍細胞が認められ、その周囲に茶褐色色素(メラニン色素)を貪食したマクロファージ(メラノファージ)の浸潤および壊死が認められた(スライド3点線部)。
 病理スライド1:皮膚 
 
	病理スライド4は胎盤の病理組織写真である。胎仔側の組織に腫瘍細胞の増殖が認められた。
 病理スライド2:リンパ節(弱拡大像) 
 病理スライド3:リンパ節(強拡大像) 
	病理スライド5は心臓、病理スライド6は小腸粘膜、病理スライド7は肺の病理組織写真である。心臓では横紋筋繊維の間に腫瘍細胞が増殖している様子が認められた。肺では、正常であれば含気されている部分に腫瘍細胞が増殖していた。小腸では粘膜固有層で腫瘍細胞が増殖していた。その他の臓器も同様に紡錘形から多角形の腫瘍細胞が認められた。一方で、原発巣の特定には至らなかった。
 病理スライド4:胎盤 
	以上の検査結果より、肉眼所見として観察された黒色病変はメラノーマによるものと診断された。
 病理スライド5:心臓 
 病理スライド6:小腸 
 病理スライド7:肺 
 【対応とまとめ】
 メラノーマは遺伝的素因の関与が示唆されていることから、当該子豚の母系、父系の関わる別の分娩においてメラノーマの子豚の娩出があるか農場へ経過観察を依頼した。その後、今回の分娩に関わった雄豚から採取された精液で種付けした別の腹で、メラノーマの子豚の娩出が認められている。
 今回未経験の症例であったが、病理組織学的検査によりメラノーマと診断できた。病理組織学的検査は今回のように未経験の症例の診断の際に非常に有用であると考える。
 
 2.渡山 恵子 先生 : 複数の検査アプローチを組み合わせることの重要性について〜第2報〜
 【はじめに】
 発育不良豚や増体低下を示した肥育豚において、PRRSウイルス(PRRSV)および豚サーコウイルス2型(PCV2)の関与を疑い、病理解剖を実施、麻布大学PCCにPCR検査と病理組織学的検査を依頼した症例を通して、PRRS診断の難しさと、複数の検査アプローチを組み合わせることに重要性について報告する。
 
 【材料と方法】
 農場は、北関東に位置する13,000頭規模の肥育農場であり、PRRSVおよびMycoplasma hyopneumoniae(Mhp)陰性の繁殖農場より60〜70日齢で肥育素豚を導入している。当該肥育農場はPRRSVおよびMhp陽性であり、導入後にPRRSVの弱毒生ワクチンを接種している。2024年11月、当該肥育農場において導入後の発育不良が散見されたことから、原因究明のため、94日齢の2頭(No.1〜2)を安楽死させ、解剖に供した。採材検体は麻布大学PCCに送付し、PCR検査と病理組織学的検査を依頼した。また同検体を民間検査機関にも送付し、細菌検査とPRRSVの遺伝子解析を依頼した。
 
 【臨床所見・解剖所見】
 臨床所見では、No.1は前後肢に関節炎、No.2は発育不良と跛行がみられた。
 解剖所見では、No.1は肺の後葉に肝変化が、No.2では肺に黄白色粟粒大の膿瘍を疑う所見が多数見られ、後葉が胸壁と一部癒着していた。
 
 【PCR結果】
 肺において2検体ともにPRRSV(北米型)、PCV2、Pasteurella multocidaが陽性であった。
 
 【細菌検査結果】
 No.2にて肺からPasteurella multocidaが分離された。またNo.2の肺の膿瘍部分からTrueperella (Arcanobacterium) pyogenesが分離された。
 
 【病理組織所見】
 2024-77(No.1)
 肺については、Pasteurella multocidaによる化膿性気管支炎と化膿性気管支壊死性肺炎と診断された。
 
 
扁桃:扁桃陰窩に化膿性の扁桃炎(リンパ組織の減少は見られない)リンパ節:反応性変化によるリンパ濾胞の発達肺:細菌感染による化膿性気管支炎(病理スライド1)肺:免疫染色にて細菌塊にPasteurella multocida陽性像(病理スライド2)回腸:細菌感染を伴う陰窩膿瘍形成(病理スライド3)回腸:免疫染色にてLawsonia intracellularis陽性像(病理スライド4) 
	
 病理スライド1:細菌感染による化膿性気管支炎(矢印) 
 病理スライド2:免疫染色にて細菌塊にPasteurella multocida陽性像 
 病理スライド3:回腸における杯細胞の減少および上皮細胞の増殖像 
 病理スライド4:免疫染色にてLawsonia intracellularis陽性像 2024-78(No.2)
 肺については、PRRSVおよびPasteurella multocidaによる化膿性気管支間質性肺炎と診断された。
 
 
扁桃:扁桃陰窩における好中球の浸潤による化膿性の扁桃炎リンパ節:反応性変化によるリンパ濾胞の発達。一部において化膿性のリンパ節炎肺:漿膜における線維素の析出(病理スライド5)肺:化膿性気管支間質性肺炎肺:肺胞腔内におけるマクロファージと好中球の浸潤と伴う間質性肺炎(病理スライド6)肺:免疫染色にて間質に浸潤したマクロファージにおけるPRRSV陽性像(病理スライド7)肺:免疫染色にてPasteurella multocida陽性像 
	
 病理スライド5:漿膜における線維素の析出 
 病理スライド6:肺における化膿性気管支間質性肺炎像 
 病理スライド7:肺胞腔内におけるマクロファージと好中球の浸潤 
 病理スライド8:免疫染色にて間質に浸潤したマクロファージにおけるPRRSV陽性像 【PRRSV遺伝子解析結果】
 No.1はウイルス量が少量のため解析不可であった。No.2で検出されたウイルスはRFLP2-5-2、クラスターUに属する株であり、当該農場で使用している生ワクチンウイルス株との相同性が99.5%であった。
 
 【考察】
 No.2の検体について、遺伝子検査では生ワクチンウイルス株が検出されたにも関わらず、病理組織学的にはPRRSの所見が確認されたが、臨床症状、今回の検査結果、当該農場におけるこれまでの疾病歴を総合的に判断し、今回の発育不良の原因はPRRSVとPasteurella multocidaの複合感染によるものと診断した。
 対策として、環境調整、バイオセキュリティの再確認と見直し、ワクチンプログラムの変更を実施した。対策の効果については、現在状況を追跡中である。
 
 【まとめ】
 今回、遺伝子検査では生ワクチンウイルス株、病理組織学的検査の結果ではPRRSの所見が確認され、本例をPRRSと診断するかの判断に苦慮した。PCR検査、遺伝子解析の結果のみであれば、PRRSの野外感染を疑わなかった可能性もあったかもしれない。改めて、PCR検査だけではなく、病理組織学的検査も含めた、異なる複数の検査アプローチを組み合わせ、多角的に感染状況を確認すること、また、検査結果だけでなく、臨床症状や疾病歴も鑑み、総合的に判断することの重要性を感じた。
 
 【相原先生からのコメント】
 
 
【麻布大学PCCの先生方からのコメント】研究室ではホルマリン固定パラフィン包埋(FFPE)材料からの遺伝子抽出を実施したことがある。PRRSV遺伝子では実施したことがないが、病変が見られる箇所でFFPE材料から遺伝子を抽出してPCR検査ができれば、病変を形成している病原体を検出できる可能性がある。しかし、環境中や作業行程中に存在する遺伝子も抽出される可能性があることから、実際の病変の形態と合わせて判断する必要があると考えられる。 
 
【フロアからのコメント】In situ ハイブリダイゼーションでPRRSVのワクチン株または特定の野外株に特異的なプローブを設計できれば、ワクチン株か野外株かを切片上で判断することが理論上可能だと考えられる。農場で以前から検出されていたPRRSV野外株の遺伝子情報が分かるならば、その野外株に特異的なプライマーを設計してPCR検査を実施すれば、野外株が存在するかどうかを確認することができると考えられる。遺伝子解析については、同じ検体で再度遺伝子解析を実施すると最初の結果と全く異なるものが検出されるという事例がPRRSVではない検査で経験がある。株が混在している場合は何回も繰り返して遺伝子解析を実施しないと正確な結果が得られない場合がある。株が混在している場合は、遺伝子解析の波形図で小さいピークが出ている可能性がある。 
 
臨床現場としては、先生方のコメントでいただいた検査方法を是非確立していただきたい。 
 3.石井 宏治 先生: 日本脳炎ウイルス・パルボウイルスによる繁殖障害
 【はじめに】
 日本脳炎は、母豚はほとんど症状を示さないが、免疫を持たない妊娠豚が感染すると、新生子豚の約40%に異常子が発生する。分娩予定日前後に異常産の娩出(白子、黒子、神経症状のある新生子豚)が認められる。コガタアカイエカの活動時期の数か月後に異常産がみられることが多く、主に9月〜10月だが温暖化や暖冬により冬期にも発生が見られることがある。ワクチンが市販されており、母豚に対しては、ウイルス流行開始時期までに十分な免疫を与えることによって異常産を予防する。今回、一貫生産の養豚場にて、異常産が多発した症例を経験したのでその概要を報告する。
 
 【材料と方法】
 母豚200頭を飼育するスリーセブン生産システムを採用した一貫経営の新規稼働農場において2024年7月15日からの分娩週に分娩産子で神経症状が見られるとの連絡を受けた。7月19日分娩、7月21日分娩の神経症状呈する子豚各1頭と9月19日分娩予定・7月22日に流産となった死産胎子の病因検索を実施するために民間検査機関に検体を送付した。7月25日に農場訪問した際に神経症状のみられた分娩腹の生存子豚1頭を剖検して麻布大学PCCにおける病理組織学的検査に供した。
 
 【病因検索】
 民間検査機関での病因検索では、3検体全てからパルボウイルスが検出され、神経症状を呈した2検体からは日本脳炎ウイルスが検出された。
 
 【病理組織学的検査】
 PCC2024-35
 病理組織学的検査により脳において非化膿性髄膜脳炎が認められ、特に大脳皮質において顕著であった。抗日本脳炎ウイルス抗体の免疫染色により、変性壊死した神経細胞の細胞質内などで大量の日本脳炎ウイルス抗原が検出された。以上の所見より、本病変は、日本脳炎ウイルスによるものと考えられた。
 
 
 
	
 病理スライド1:大脳皮質における神経細胞の変性・壊死とグリア細胞の浸潤 
 病理スライド2:大脳皮質における神経食現象(変性壊死した神経細胞の周囲にミクログリアが集まっている) 
 病理スライド3:大脳皮質における抗日本脳炎ウイルス抗体による免疫染色(委縮・変性した神経細胞の細胞質内が茶色に染まっている) 
 病理スライド4:大脳皮質における免疫染色の強拡大(大量の日本脳炎ウイルス抗原を検出) 【結論・考察】
 今回の繁殖障害の発症は、農場からの聞き取りにより交配前および3月・4月に接種予定となっていた日本脳炎・パルボウイルス生ワクチンおよび不活化ワクチンが未接種となっていたことが原因と考えられる。新規稼働農場ということで、全ての母豚が初産であったことが甚大な被害につながった。
 病理検査・病因検索を実施することで早期の確定診断につながりワクチン接種により被害の長期化を防ぐことが出来た。
 
 
 
 |