
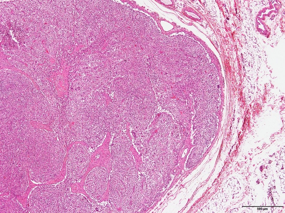
病理スライド1:結腸の表在に限局性壊死性結腸炎が認められた。

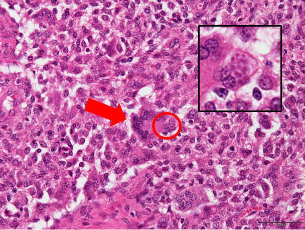
病理スライド2:壊死層内のアメーバ虫体。(赤丸印)
【病理検査所見】
PCC1054
結腸:アメーバ感染をともなう壊死性大腸炎と診断された。
・結腸の広範囲に渡って、表在性壊死性結腸炎が認められた。(病理スライド3)
・壊死層内のアメーバ虫体。(病理スライド4)
・この検体のPCR検査の結果からE.poleckiサブタイプ3が検出された。

病理スライド3:結腸の広範囲に渡って、表在性壊死性結腸炎が認められた。

病理スライド4:壊死層内のアメーバ虫体。(赤丸印)
【結果と対策】
今回の検査結果より、アメーバが直接大腸の粘膜を障害し、腸管壊死を起こし出血及び下痢が生じたと考えられる。豚のアメーバ感染症の治療方法・効果についての報告はほとんどなく、有効薬剤の1つであるメトロニダゾールの家畜での使用は禁止されている。当農場へは感染拡大防止のため、長靴の履き替えや消毒、豚舎洗浄・消毒等の飼養管理上のバイオセキュリティルールの見直しを指示した。以後発症頭数は減少し、2018年12月現在同様の症状を示す豚は確認されていない。
【考察】
生産成績を比較すると、アメーバ感染症を疑う下痢症が発生した時期では農場FCRが悪化していたことが判明した。よって、豚のアメーバ感染症は農場FCRを悪化させる可能性が示唆されるが、報告症例が少ないため、情報の積み重ねが重要であると考えられる。
血便症状を示す豚に対し、過去の情報を元にローソニア感染症を疑ったが、微生物学的検査及び薬剤反応性より否定されたことから、固定観念にとらわれず、類症鑑別を丁寧に行う重要性について学んだ。また、微生物学的検査では特定の病原微生物の存在の“有無”のみしか判定できず、原因追及のためには、病理組織学的検査まで突き詰めて検査を実施することの重要性について学んだ。
2.数野 由布子 先生 : 封入体鼻炎(豚サイトメガロウイルス病)の症例
封入体鼻炎(豚サイトメガロウイルス病)は、豚ヘルペスウイルス2によっておこる疾病であり、全世界の豚が高率に感染し、感染豚は生涯ウイルスを保持し続ける。症状は豚の日齢、移行抗体の有無、飼育環境などによって異なるが、移行抗体陰性の新生子豚が感染すると、くしゃみ、鼻汁の流出、呼吸困難などが見られ、死亡することもある疾病である。今回、一貫生産の養豚場にて、封入体鼻炎と診断された症例を経験したのでその概要を報告する。
【材料と方法】
関東地方に所在し母豚200頭を使用する一貫生産の養豚場において2018年3月に農場を訪問した際に、分娩舎において2週齢の哺乳子豚で腹式呼吸を伴うくしゃみや咳などの呼吸器症状が認められた。症状を呈していた子豚1頭を鑑定殺し、麻布大学PCCにおける病理組織学的検査に、そのうち肺のみSMC(株)における病原探索に供した。
【解剖所見】
右肺中葉の一部で肝変化が認められた。
心臓の表面に出血が認められた。
【病原体検査】
肺の細菌分離検査では細菌は分離されず、PCR検査では、PRRSウイルス、マイコプラズマ、インフルエンザウイルスは陰性であった。
【病理検査所見】
肺の化膿性気管支肺炎、心臓の心筋壊死、肝臓のび漫性髄外造血、腎臓の非化膿性腎炎、腎臓の髄外造血、胃のリンパ球性胃炎、扁桃の扁桃炎および反応性変化、腸管膜リンパの反応性変化とヘモジデローシスおよび髄外造血、鼻の封入体鼻炎が認められた。
PCC1070
鼻:豚封入体鼻炎(豚サイトメガロウイルス病)と診断された。
・鼻腔粘膜の肥厚及び粘膜上皮の剥離・脱落。(病理スライド5)
・粘膜固有層におけるリンパ球・形質細胞を主体とした炎症細胞の浸潤。(病理スライド6)
・鼻腺上皮の細胞の巨大化、核の巨大化と好塩基性核内封入体。(病理スライド7)

病理スライド5:鼻腔粘膜の肥厚及び粘膜上皮の剥離・脱落。

病理スライド6:粘膜固有層におけるリンパ球・形質細胞を主体とした炎症細胞の浸潤

病理スライド7:鼻腺上皮の細胞の巨大化、核の巨大化と好塩基性核内封入体。(赤丸印)
【結果と対策】
訪問時に確認したところ、担当者変更に伴い分娩舎の管理が適切に引き継がれていなかったことが分かった。本病に対する治療法やワクチンはなく、移行抗体の獲得が重要であるということから、新担当者と分割授乳の実施方法を見直し、子豚に初乳を十分に摂取させるように指導した。その後、現在までに分娩舎で肺炎症状は認められていない。
【考察】
本症例では、鼻を採材したことが診断につながった。哺乳子豚で肺炎症状が認められた際は、肺だけではなく鼻も併せて採材する重要性を学んだ。また、日々の管理に変化があった場合は、基本的な管理をあらためて確認し、見直すことが重要である。
3.渡部 佑悟 先生 : PCV2dが検出されたPCVAD
PCVAD(Porcine Cirocovirus Associated Diseases;豚サーコウイルス関連疾病)は豚サーコウイルス2型(porcine circovirus2:PCV2)が関与する疾病である。PCVADは1990年代後半より他の多くの国で発生が確認され、世界の養豚産業に深刻な打撃を与えている。日本でも1996年よりPCVADの発生が確認されている。PCV2の遺伝型については、現在までにPCV2a、PCV2b、PCV2c、PCV2d及びPCV2eの遺伝型が報告されている。PCV2aは主に1997〜2003年にPCVAD発病豚ならびに健康豚から検出されたウイルスで、PCV2のワクチン株として使用されている。PCV2bは2004年以降の北米を中心としたPCVAD大流行時に主に検出されたウイルス、PCV2cはPCVADが確認される前の1980年代にデンマークから検出されたウイルスである。近年は、中国をはじめとして北米、ブラジルなど世界的にPCV2dが優勢なPCV2として確認されている。今回はPCV2dが認められたPCVAD症例を報告する。
【材料と方法】
関東地方に所在し母豚490頭を飼育する一貫生産の養豚場において、2018年8月、85日齢の豚群において肺炎症状と発育遅延を示す豚が増加した。これらの豚群を含めた農場全体の臨床観察を行い、85日齢の重度削痩を示す豚2頭を鑑定殺し、そのうちの1頭を麻布大学PCCにおける病理組織学的検査に供した。また、7月に農場全体のモニタリング検査を行ったときに採材した血液検体をSMC(株)に病原探索を依頼した。
【解剖所見】
鼠経リンパ節の腫大、肺の一部で硬結が認められた。
【病原体検査】
血液検体の90日齢、120日齢、150日齢の日齢毎のプール検体で、PCV2が陽性であり、遺伝子解析の結果から、ウイルス株はPCV2dと判明した。
【病理検査所見】
肺に化膿性気管支間質性肺炎、心臓に心筋変性壊死、扁桃にて扁桃炎、リンパ節にて肉芽腫性リンパ節炎が認められ、さらに肺とリンパ節の免疫染色にてPCV2が陽性となり、PCV2の感染が確定された。
PCC1116
肺:間質性肺炎と診断された。
・肺胞中隔の肥厚及び肺胞・細気管支内に好中球浸潤。(病理スライド8)
・免疫染色にて間質に浸潤しているマクロファージに一致してPCV2抗原陽性像が認められる。(病理スライド9)
・マクロファージ内の好塩基性細胞質内封入体。(病理スライド10)

病理スライド8:肺胞中隔の肥厚及び細気管支内に好中球浸潤

病理スライド9:免疫染色にて間質に浸潤しているマクロファージに一致してPCV2抗原陽性像が認められる。(左:HE染色、右:免疫染色)

病理スライド10:マクロファージ内の好塩基性細胞質内封入体。(赤丸印)
鼠経リンパ節:肉芽腫性リンパ節炎と診断された。
・マクロファージの高度な浸潤を伴うリンパ節炎。(病理スライド11)
・免疫染色にてPCV2抗原陽性像。(病理スライド12)
・多核巨細胞の発現及びマクロファージ内の好塩基性細胞質内封入体。(病理スライド13)

病理スライド11:マクロファージの高度な浸潤を伴うリンパ節炎。

病理スライド12:免疫染色にてPCV2抗原陽性像が認められる。(左:HE染色、右:免疫染色)

病理スライド13:多核巨細胞の発現(赤矢印)及びマクロファージ内の好塩基性細胞質内封入体。(赤丸)
【結果と対策】
臨床症状及び病理組織学的検査、遺伝子検査の結果により、発育遅延の原因がPCV2dによるPMWS(離乳後多臓器性発育不良症候群)と診断した。
発生当初は85日齢の豚群で限られていたPCVADが、離乳舎でも同症状が見られ始めたため、PCV2のワクチン接種時期を55日齢から25日齢に早めた。その結果、全体のPCVADは収束に向かってきている。
【考察】
母豚のPCV2ワクチン接種により、母豚からの移行抗体の干渉を懸念して、肉豚のPCV2ワクチン接種を55日齢で行っていたが、ワクチン接種時期が遅すぎた可能性が考えられた。
また、病理組織学的診断と病原探索の結果、PCV2dの感染があることが明らかになり、対策を行うことで臨床症状が改善された。今後もPCVADの動きを注視していきたい。
4.呉 克昌 先生 :
発育不良豚での化膿性肺炎の事例とその発現機序・要因の検討
PMWS(PCVAD)も疑った極端な発育不良と呼吸器症状を呈したA農場の離乳舎後期の豚2頭とB農場の肥育舎前期の豚3頭、合計5検体を病理解剖し、PCC及び民間検査機関で検査した結果より、Trueperella pyogenes(Tp)による化膿性肺炎と診断した。異なる農場で類似の症状と診断結果を得たので、その発現機序や要因を検討したい。
【材料と方法】
A農場は母豚1800頭規模の農場であり、豚の外部導入を一切行っていない。B農場は母豚1400頭規模の農場であり、豚の外部導入はGP種雌候補豚及び止め雄のみ行っている。どちらの農場もPS種雌候補豚は自家生産し更新率は50%以上で、部屋・棟ごとにオールイン・オールアウト飼育を実施しており、繁殖農場ではPRRS陰性である。
A農場は2018年6月下旬の定期農場訪問時に、離乳舎で発育不良、関節腫脹を呈した2頭(63日齢)を、B農場では同年11月中旬の定期農場訪問時に、肥育舎で発育不良、呼吸促拍、発熱を呈した3頭(84日齢1頭、112日齢2頭)を安楽死させて病理解剖し、PCCにPCR検査と病理組織検査を依頼し、民間検査機関には細菌検査とPCR検査を依頼した。
【解剖所見】
A農場:2頭とも肺における粟粒状の膿瘍及び一部肺と胸膜の癒着が認められた。
B農場:112日齢の1頭(PCC1155)で、肺に多発性の膿瘍の形成が認められ、胃の噴門部に500円玉大の潰瘍があった。
【病原体検査】
5検体に共通して、肺の細菌検査でTpのみが分離された。
PCR検査でA農場では2頭ともHaemophilus parasuis陽性、B農場では3頭ともインフルエンザA、2頭でPCV2が陽性だったが、極端な発育不良と呼吸器症状はTpによる化膿性肺炎によるものと診断した。
【病理検査所見】
A農場(PCC1105、1106):膿瘍形成を伴う化膿性肺炎と診断された。肺の一部で間質性肺炎が認められた。
B農場(PCC1153、1154、1155):化膿性壊死性気管支肺炎及び間質性肺炎と診断された。
PCC1105(A農場)
肺:膿瘍形成を伴う化膿性肺炎と診断された。
・膿瘍の形成及び一部で間質性肺炎が認められた(免疫染色ではPRRSウイルス、PCV2陰性)(病理スライド14)
・膿瘍の中に小桿菌の細菌塊が認められた。(病理スライド15)
・免疫染色にて膿瘍内における細菌塊の一部で Actinobacillus pleuropneumoniae (App)抗原陽性像が認められた。(病理スライド16)
・間質性肺炎像。(病理スライド17)

病理スライド14:膿瘍の形成及び一部で間質性肺炎が認められた。

病理スライド15:膿瘍の中に小桿菌の細菌塊が認められた。

病理スライド16:免疫染色にて膿瘍内における細菌塊の一部でApp抗原陽性像が認められた。

病理スライド17:間質性肺炎像。
PCC1106(A農場)
肺:膿瘍形成を伴う化膿性肺炎と診断された。
・膿瘍の形成及び一部で間質性肺炎が認められた。(病理スライド18)
・細気管支内に好中球の浸潤を伴う化膿性細気管支肺炎が認められた。(病理スライド19)
・免疫染色にて肺胞マクロファージ内のPRRSウイルス抗原陽性像。(病理スライド20)

病理スライド18:膿瘍の形成及び一部で間質性肺炎が認められた。

病理スライド19:細気管支内に好中球の浸潤を伴う化膿性細気管支肺炎が認められた。

病理スライド20:免疫染色にて肺胞マクロファージ内のPRRSウイルス抗原陽性像。(左:HE染色、右:免疫染色)
PCC1153(B農場)
肺:化膿性壊死性気管支肺炎、間質性肺炎と診断された。
・膿瘍形成及び気管支内に上皮の壊死・脱落、好中球の浸潤を伴う化膿性壊死性気管支肺炎が認められた。(病理スライド21)
・免疫染色にて膿瘍内における細菌塊の一部でApp抗原陽性像が認められた。(病理スライド22)
・免疫染色にて気管支上皮細胞内におけるインフルエンザウイルス抗原陽性像。(病理スライド23)
・免疫染色にて気管支上皮細胞および間質のマクロファージ内におけるPCV2抗原陽性像。(病理スライド24)
・免疫染色にてPRRSウイルス抗原陽性像。(病理スライド25)

病理スライド21:膿瘍形成及び化膿性壊死性気管支肺炎が認められた。

病理スライド22:免疫染色にて膿瘍内における細菌塊の一部でApp抗原陽性像が認められた。

病理スライド23:免疫染色にて気管支上皮細胞内におけるインフルエンザウイルス抗原陽性像。(左:HE染色、右:免疫染色)

病理スライド24:免疫染色にて気管支上皮細胞および間質のマクロファージにおけるPCV2抗原陽性像。(左上:HE染色、左下・右:免疫染色)

病理スライド25:免疫染色にてPRRSウイルス抗原陽性像。
PCC1154(B農場)
肺:化膿性壊死性気管支肺炎、間質性肺炎と診断された。
・化膿性壊死性気管支肺炎及び間質性肺炎が認められた。(病理スライド26)
・免疫染色にてPRRSウイルス抗原陽性像。(病理スライド27)

病理スライド26:化膿性壊死性気管支肺炎及び間質性肺炎が認められた。

病理スライド27:免疫染色にてPRRSウイルス抗原陽性像が認められた。(左:HE染色、右:免疫染色)
PCC1155(B農場)
肺:化膿性壊死性気管支肺炎、間質性肺炎と診断された。
・化膿性壊死性気管支肺炎及び間質性肺炎が認められた。(病理スライド28)
・免疫染色にて膿瘍内における細菌塊の一部でApp抗原陽性像が認められた。(病理スライド29)
・免疫染色にてPRRSウイルス抗原陽性像が認められた。(病理スライド30)

病理スライド28:化膿性壊死性気管支肺炎及び間質性肺炎が認められた。

病理スライド29:免疫染色にて膿瘍内における細菌塊の一部でApp抗原陽性像が認められた。

病理スライド30:免疫染色にてPRRSウイルス抗原陽性像。
免疫染色にて陽性像が認められた病原体のまとめ

【結果と対策】
5検体とも、Tpが分離され、病理組織検査でA農場の検体で化膿性肺炎、B農場の検体で化膿性壊死性気管支肺炎及び間質性肺炎と診断された。両農場に共通して認められた、極端な発育不良と呼吸器症状はTpが関与した化膿性肺炎によると診断した。
Tpは呼吸器官や泌尿生殖路の粘膜の常在細菌叢の一つと考えられているが、創傷より感染し血液やリンパ液によって菌が体内に拡散して多様な臓器や体表に化膿性病変を作ることが知られており、今回の症例では病変が主に肺に集中していた。子豚で創傷感染の起こる可能性として、出生時の臍帯、断尾、去勢、膝や足の擦り傷、耳カジリ、尾カジリが考えられるが、A農場の2検体では耳カジリ、尾カジリは見られず、分娩舎での感染を想定し、初生子豚を乾かすときに臍帯のヨード液での消毒の徹底を実施し、断尾・去勢時にも同様の消毒の徹底を実施し、その後、同様な発育不良豚は見られていない。B農場では離乳舎で耳カジリが見られ、今回の3検体でも見られている。A農場と同様に、分娩舎での衛生対策の強化を実施中であるが、まだ、その結果は見られていない。また、B農場では3検体中2検体においてPCR検査でPCV2、インフルエンザウイルスAが陽性であり、これらの発育不良、事故率上昇への影響がないか検討が必要であると考えられる。なお、A農場のPCC1106では免疫染色でPRRSウイルスが陽性だったが、PCR検査で陰性であり、また、その後の農場の定期検査でも全例陰性だったので、非特異反応と考える。また、PCC1105検体では免疫染色でApp陽性だったが、細菌検査で陰性であったことから、非特異反応の可能性がある。
【考察】
両農場の共通点は、高能力母豚を飼育し、母豚頭数が大規模で、候補豚を自家更新しており、その更新率は50%以上と高いこと、繁殖農場はPRRS陰性であること、繁殖成績はPigINFOで上位の優良農場で、生存産子数、離乳頭数はそれぞれ、A農場で14頭以上・12頭以上、B農場では13頭・12頭を少し下回る成績である。
一方、海外の研究結果では、母豚が生産する総初乳量は産子数と相関がなく、生時体重と子豚の初乳摂取量は正の相関が強いと報告されている。また、初乳摂取量とその後の死亡率は負の相関があり、特に生時体重が小さい子豚では強い相関がみられることが報告されている。このようなことから、分娩舎での環境、母豚、子豚への衛生対策を徹底したうえで、繁殖成績の高い高能力母豚では、給餌管理を徹底しボディコンディションを適正に保ち、生時体重の大きな子豚を生産すること、そして特に小さな子豚に初乳を十分に摂取させる管理が、今回のような症例の発生防止や離乳後の成績の最適化にとって重要ではないだろうか。
また、今回の症例では一部の検体で免疫染色とPCR検査や細菌検査の結果が一致しないものがあったが、正確な診断には病理組織学的検査、免疫染色、PCR検査、細菌検査の結果とともに農場履歴や臨床症状・観察なども加味して総合的に検討することが重要である。