1.渡部 佑悟 先生 :
PRRSと診断された豚におけるヘリコバクターの感染例
病理組織学的検査とPCR検査の結果から肺ではPRRSVとマイコプラズマの感染が認められ、胃ではヘリコバクターの濃厚感染が確認された。
【病理組織所見】
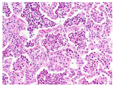
気管支内に壊死細胞が見られることから、間質性気管支肺炎と診断した。免疫染色でPRRSが陽性となった。
 |
 |
Mycoplasma感染を示唆する
気管支周囲リンパ球浸潤、集簇像 |
PRRSV感染を示唆する間質肥厚、
II型上皮腫大肺胞内の変性好中球 |
また、胃ではヘリコバクターの濃厚感染が粘膜上皮表面に認められた。
当該農場におけるヘリコバクター感染については、個体レベルの濃厚感染が認められたものの、訪問時農場全体でのヘリコバクター感染を疑うような症状は見られなかった。養豚場でのヘリコバクター感染についてはまだ不明なことが多いため、今後も着目していきたい。
2.水上 佳大 先生 : 地域的に散発が認められたH.parasuis感染例
H.parasuisの関与を疑う症例が冬場の同一時期に3農場で発症を確認。その結果と考察を報告した。
[PCC501]A農場、初産の哺乳豚(1か月齢)、
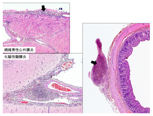
主症状 {沈鬱、神経症状、下痢}、剖検 {心外膜炎、腹膜炎}、病理組織{気管支肺炎、化膿性髄膜脳炎、繊維素性心外膜炎}
[PCC502]B農場、離乳豚(1か月齢)、
主症状 {沈鬱、神経症状、削痩、鼻汁}、剖検 {心外膜炎、胸膜炎}、病理組織{繊維素性化膿性胸膜炎、化膿性髄膜炎、繊維素性心外膜炎}
[PCC503]C農場、1か月齢、
主症状 {起立不能、沈鬱、神経症状、腹式呼吸}、剖検 {心外膜炎}、病理組織{繊維素性胸膜気管支肺炎、化膿性髄膜脳炎、繊維素性心外膜炎}
3症例から共通してH.parasuisの遺伝子が検出された。
また、以下のような管理面のミスが認められた
・A農場、C農場:分娩舎ならびに離乳舎の保温やすきま風対策が不十分
・B農場:ウィンドレス離乳舎内ガスブルーダーの故障
さらに他の誘発要因(他疾病、低免疫状態)として
・A農場:下痢症
・B農場、C農場:PRRS
・A農場、C農場:初産の子豚
これら一般的飼養衛生管理のミスとその他誘発要因によって今回の症例は潜在的に発症する可能性を持っていたと考えられる。このような疾病を防ぐためにも一般的飼養衛生管理の徹底と常在化している疾病対策は農場の生産性をあげる上で重要である。
3.小池 郁子 先生 :
近年確認されたPMWS症例と国内PCV2感染状況について
PCV2ワクチン接種開始以降、PCVADの中でもPMWSと診断される検体は急激に減少した。しかしここ数年PCV2検出率は上昇傾向にあり、斃死豚の肉眼的病変の傾向にも変化が見られる。今回は、2013年にPMWSと病理組織診断により確認された症例と弊社でのPCV2を含めた疾病状況を整理し報告した。
・PMWS症例
【病理組織所見】
リンパ節ではリンパ球の消失や、組織球の浸潤が見られた。また、免疫染色によってPCV2が検出された。
脳には化膿性髄膜炎が認められ、グラム染色によってグラム陽性連鎖球菌が確認された。
【微生物検査結果】
有意な病原細菌は分離されず。qPCV2 1.3×107copy/ul 検出。
【考察】
今回の症例では、微生物検査結果では有意な病原細菌が分離されなかったが、病理組織学的検査によってPCV2および連鎖球菌の感染を確認することができた。このように症例の診断には、微生物検査結果と病理組織診断を行うことで、より詳細な病態を知ることができると考えられる。
【PCV2国内感染まとめ】
・PCV2ウイルスは農場内に常在し、条件が揃えばPMWSを発症する可能性は現在もある。
・PCV2感染含め、病変・症状がはっきりとしないまま、経済的損失となっている可能性がある。
4.呉 克昌 先生・大久保 光晴 先生 :
App単独と混合感染;
剖検所見と病理組織所見による違いと
フィールドでの対応事例
Appが関係した単独感染と混合感染の4症例をもとに、それら剖検所見と病理組織所見や各検査結果の違いを検証した。
症例1

肺胞壁肥厚、II型上皮腫大、増殖、肺胞内炎症細胞浸潤と編成像:PRRSV感染を疑う肺炎像
症例2
症例3
症例4
(左上)炎症性細胞に囲まれた境界明瞭な壊死病変:APP感染を疑う
(左下)胸膜における繊維素性化膿性炎症
(右上)気管支周囲リンパ濾胞形成:Mycoplasma感染を疑う所見
(右下)炎症反応を認めない部位
発症豚へのペニシリンを用いた個体治療とアモキシシリン5r/体重sの3日間飲水投与、及び豚舎環境の改善を実施し、事故率は軽減した。
【考察】
(1)Appの診断には肉眼的所見によりある程度の推察ができるが、確定診断には病理組織検査を含む各検査を実施する必要がある。
(2)今回の症例はAppの好発日齢であった。この時期の環境を最適化することがAppの発症予防に重要であると考えられた
(3)Appの治療には抗生物質の早期使用が有効であるが、PRRSV、マイコプラズマ、PCV2の免疫に影響する病原体のコントロールも重要と考えられた。
5.志賀 明 先生 : 復興農場で好発している連鎖球菌症について
複数の農場で哺乳豚から母豚までの広範囲なステージで問題となっているレンサ球菌症についてその発生の概要と対策について報告する。
(1)A農場の発生例:20日齢前後の哺乳豚に神経症状、関節炎などが発生した。
(2)B農場の発生例:離乳舎および肉豚舎で神経症状および関節炎が発生した。
グラム陽性のレンサ球菌が認められた。
【まとめ】
レンサ球菌症は臨床症状から比較的診断はつけやすいが、剖検所見としてはわかりづらい疾病である。病原検索や病理検査により確定診断をして、飼養環境整備やワクチン接種などの予防的な対策を講じることが今後重要となってくるものと考えられる。 |